Professional Whitening

Professional whitening can safely and quickly brighten your smile and bring back a more youthful, refreshed appearance. At Amanda Family Dental, we offer whitening treatment designed to lift stains, enhance your natural enamel color, and help you smile with more confidence.

Cosmetic Dentist Near Lancaster OH

What Is Professional Whitening?

Professional whitening is a simple, non-invasive cosmetic treatment that helps restore the natural brightness of your teeth. Over time, teeth can become darker due to aging, everyday foods, beverages like coffee and wine, and habits such as smoking. Whitening treatment helps reduce this discoloration and reveal a cleaner, brighter-looking smile.

At Amanda Family Dental, our whitening process is designed to be both safe and effective. It uses a gentle bleaching technique that lifts stains without damaging or softening your enamel, making it a trusted option for patients who want noticeable results in a short amount of time.

Professional Whitening Can Help Improve:

  • Stains caused by coffee, tea, or wine

  • Yellowing that happens naturally over time

  • Discoloration from smoking or tobacco use

  • A dull or tired-looking smile

  • Overall smile brightness and confidence

In many cases, patients can see dramatically whiter teeth in just one visit, making professional whitening a fast and effective way to refresh your smile.

The Benefits of Professional Whitening

  • Fast, Noticeable Results: Whitening can visibly brighten your smile in a short amount of time.

  • Safe and Gentle Treatment: Professional care helps protect your enamel while effectively lifting stains.

  • Non-Invasive Cosmetic Option: Whitening enhances your smile without changing the structure of your teeth.

  • Boosts Smile Confidence: A brighter smile can help you feel more refreshed, polished, and self-assured.

happy-customer-01

What to Expect from Whitening Treatment

Professional whitening is designed to be simple, comfortable, and efficient. During your visit, we apply a proven whitening treatment that gently lifts stains from the enamel and brightens the overall appearance of your teeth.

Because the treatment is performed under professional supervision, you can feel confident knowing your smile is being cared for with safety and precision.

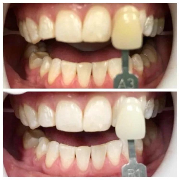
Real Results

Every smile responds a little differently to whitening, but professional treatment offers a safe, effective way to achieve noticeable improvement with results that look naturally brighter.

DDS-dental-stock-img (22)

Kind feedback from our patients