Dental Crowns
Dental crowns help protect and strengthen damaged teeth while restoring their natural shape, size, and appearance. At Amanda Family Dental, we use custom crowns to give weakened teeth lasting support and help you smile with confidence.
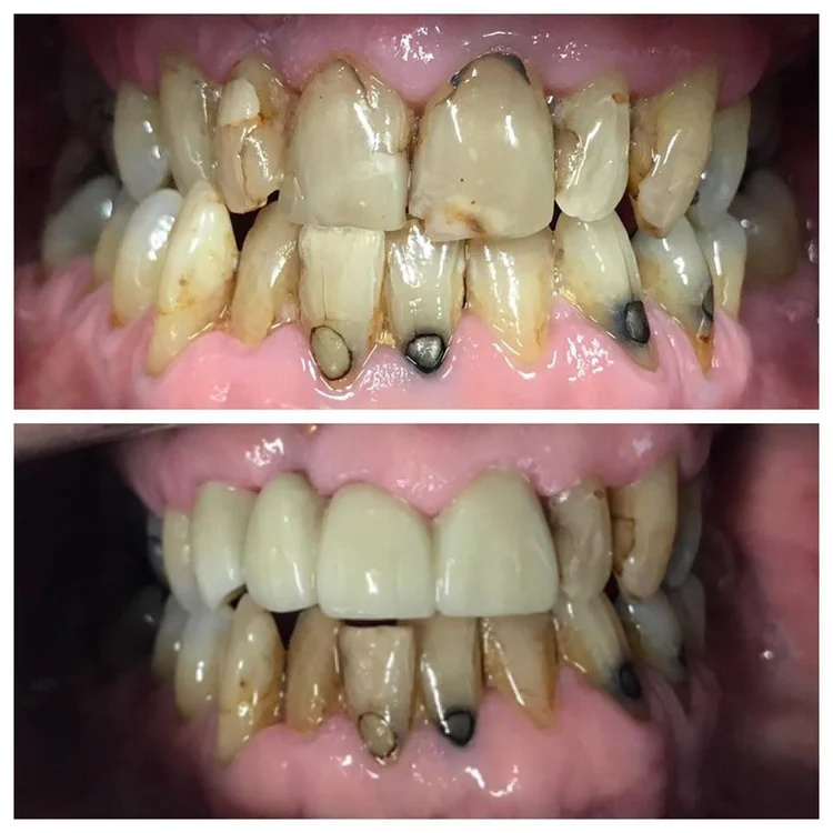
What Is a Dental Crown?
A dental crown, sometimes called a cap, is a custom restoration that covers the entire visible surface of a tooth. It is designed to restore strength, function, and appearance when a tooth has been damaged by decay, cracking, wear, or a large existing filling.
Crowns are often recommended when a tooth needs more support than a filling can provide. They can also be used after a root canal or for cosmetic improvement when restoring the shape and look of a tooth.
Crowns May Be Recommended For:
- Broken or fractured teeth
- Teeth with large or failing fillings
- Teeth weakened by decay
- Teeth that have had a root canal
- Cosmetic enhancement and smile improvement
Every crown is custom-made to fit your tooth and bite, helping it feel natural, function properly, and blend beautifully with your smile.
The Benefits of Dental Crowns
- Protects Weakened Teeth: Crowns help shield teeth that are cracked, worn down, or structurally compromised.
- Restores Strength and Function: They allow you to bite, chew, and speak more comfortably and confidently.
- Natural-Looking Results: Custom crowns are designed to match the shape and appearance of your surrounding teeth.
- Long-Lasting Support: With proper care and regular dental visits, crowns can help extend the life of a damaged tooth.
See how composite fillings and bonding can restore chipped teeth, repair cavities, and improve the overall look of a smile with seamless, natural-looking results.
- Testimonials
Kind feedback from our patients
Kevin Bowers
Brandon F
Austin
Sarah Daily
Lacey Elliott Lyle