Composite Fillings & Bonding

When you have a cavity, chipped tooth, or minor damage to your smile, we use durable, tooth-colored materials to restore both function and appearance. At Amanda Family Dental, our goal is to repair your tooth in a way that looks natural and helps you smile with confidence.

Cosmetic Dentist Near Lancaster OH

What Are Composite Fillings & Bonding?

Composite fillings and bonding are two common ways to repair and improve teeth using a tooth-colored resin material that blends beautifully with your natural smile. These treatments are designed to restore strength, protect the tooth, and improve appearance without drawing attention to the repair.

Composite fillings are typically used to treat cavities, while composite bonding is often used to repair chipped or broken teeth or make small cosmetic improvements, such as closing minor spaces between teeth. Both options are durable, conservative, and aesthetically pleasing.

This Treatment Can Help With:

  • Cavities that need a strong, tooth-colored filling
  • Chipped or broken teeth
  • Minor cosmetic imperfections
  • Small gaps between teethRestoring a more natural-looking smile

Whether you need a filling to treat decay or bonding to repair and reshape a tooth, our team takes a precise, personalized approach to help your smile look and feel its best.

The Benefits of Composite Fillings & Bonding

  • Natural Appearance: Tooth-colored materials blend in with your surrounding teeth for a seamless look.
  • Durable Protection: Composite resin is strong enough to restore teeth affected by decay or minor damage.
  • Conservative Treatment: Bonding and fillings can often preserve more of your natural tooth structure.
  • Improved Confidence: Repairing chips, cavities, and small imperfections can help you feel better about your smile.
dental-fillings

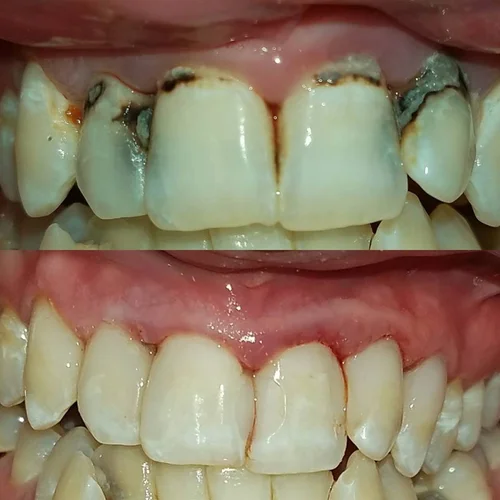
Smile Transformations

See how composite fillings and bonding can restore chipped teeth, repair cavities, and improve the overall look of a smile with seamless, natural-looking results.

DDS-dental-stock-img (22)

Kind feedback from our patients